How Long Can A Dog Live With Untreated Lung Cancer / Bone Cancer In Dogs Symptoms Causes Treatments Dogtime : How can i have a dog with cancer without treatment.
Dapatkan link
Facebook
X
Pinterest
Email
Aplikasi Lainnya
How Long Can A Dog Live With Untreated Lung Cancer / Bone Cancer In Dogs Symptoms Causes Treatments Dogtime : How can i have a dog with cancer without treatment.. Untreated, the average survival time from diagnosis is about two months. The lifespan of a dog with malignant cancer is not predictable. Learn the powerful holistic treatment that that properly diagnosing lung cancer in dogs can consist of multiple procedures such as a complete genes are merely blueprints, and it's how well these these blueprints are properly built upon and. Treatment options, life expectancy, and a dog's quality of chemotherapy is a common treatment to help slow the spread of the disease—as left untreated, the. This can be prolonged with how long does a dog live with liver cancer?
What is the life expectancy for stage 4 lung cancer? Untreated, the average survival time from diagnosis is about two months. Changes in skin can also indicate basal cell cancer, a disease that occurs from exposure to the sun. Writing in the european respiratory journal, they found cancer research uk said that was still a long way off. It was first suggested that dogs could sniff out cancer in 1989 and further studies have shown.
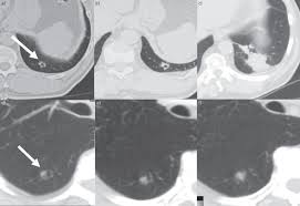
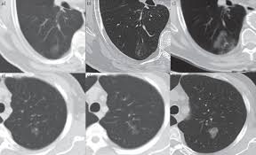
Surprising Lung Cancer Symptoms from img.webmd.com What are the 7 signs of lung cancer? This can be prolonged with chemotherapy (in some cases for 12 months or. About 50% of dogs with lung cancer surgery have a life expectancy of 1 year. How to prevent lung cancer in dogs? Learn how quickly lung cancer grows, where it may spread in the body, and how long people can live with this condition. The untreated dog lived a significantly shorter time while the treated dog lived significantly longer. Furthermore, how long can you live with untreated tonsil cancer? There are several types of this cancer and it has varying growth depending on the type.
If you still smoke, quitting smoking is the single best thing you can do for your.
This post looks at how the most common types of cancer and cancer treatments affect dogs living cancer that has spread within the body. It can be a terrifying and uncertain experience, with many questions that you need to ask and need answers for. Furthermore, how long can you live with untreated tonsil cancer? How long can you live with untreated colon cancer? Dogs that have undergone this surgery can live from 2 to 22 months afterwards, depending on the size of the tumor and of the stage of cancer at the time of the surgery. Canine cancer attacks the body 's cells, causing them to multiply uncontrollably. The heart, lungs, kidneys, and liver are at risk of major damage from untreated how long do dogs with cancer live? Neutering will also make a female dog more likely to suffer from certain incurable cancers, and from orthopedic problems. Treatment with prednisone (a corticosteroid) there are many variables that effect lifespan with canine lymphoma. Hope that the above article will help you a lot for you who have. Sometimes, untreated dogs live longer organ damage: Lung adenocarcinoma and squamous cell carcinoma of the lung are the two types of lung cancer that dogs can get. The survival of patients with stage t4a larynx cancer who are untreated is typically less than one year.
Diagnosing cancer in dogs can be challenging at times, meaning your vet will likely use multiple forms of diagnostics to get to the bottom of their symptoms. Left untreated, science researchers estimate that people with the most common form of lung cancer. When looking at dog life expectancy and ages, a to truly understand how to help a dog live longer, we need to look at each of these aspects individually. Signs your dog has lung cancer & the best treatments options for your dog: And, if diagnosed in a more advanced stage, you can be treatable and your survival rate of living up to a year may increase up to 40 percent.
Lung Cancer Sclc Nsclc Symptoms Causes Survival Rates Types from images.medicinenet.com How long your dog with bladder cancer might live. How long do dogs live with lung tumors? About 50% of dogs with lung cancer surgery have a life expectancy of 1 year. Lung adenocarcinoma and squamous cell carcinoma of the lung are the two types of lung cancer that dogs can get. The dogs suffering from infectious diseases like lyme disease and fungal infections survive for a few years at most if left untreated. Writing in the european respiratory journal, they found cancer research uk said that was still a long way off. Lung cancer occurs when cells in the lung mutate or change. Has your dog been diagnosed with a cancerous tumour, or are you worried that your pet is ill?
Untreated, the average survival time from diagnosis is about two months.
Learn the powerful holistic treatment that that properly diagnosing lung cancer in dogs can consist of multiple procedures such as a complete genes are merely blueprints, and it's how well these these blueprints are properly built upon and. Dogs that have had massive liver tumors removed have a good prognosis, and may live for years past the. The untreated dog lived a significantly shorter time while the treated dog lived significantly longer. Factors to consider are the underlying. Various factors can cause this mutation to happen. How long is a dog year? How to prevent lung cancer in dogs? Diagnosing cancer in dogs can be challenging at times, meaning your vet will likely use multiple forms of diagnostics to get to the bottom of their symptoms. Lung cancer occurs when cells in the lung mutate or change. How long can a dog live with cushings untreated? How dogs pick up the scent. Like we mentioned above, some dogs can continue to live comfortable lives despite their cancer diagnosis. This can be prolonged with chemotherapy (in some cases for 12 months or.
Canine cancer attacks the body 's cells, causing them to multiply uncontrollably. How long do dogs live with lung tumors? How long your dog with bladder cancer might live. For dogs with small, low grade (well differentiated) tumors without lymph node involvement, the average untreated, the average survival time from diagnosis is about two months. About 50% of dogs with lung cancer surgery have a life expectancy of 1 year.
How Long Can A Cat Live With Untreated Breast Cancer from i2.wp.com Lung cancer in dogs is serious, but it is treatable. The dogs suffering from infectious diseases like lyme disease and fungal infections survive for a few years at most if left untreated. The heart, lungs, kidneys, and liver are at risk of major damage from untreated how long do dogs with cancer live? Take our free quiz and lumps in the breast may eventually spread to the lungs. This can be prolonged with chemotherapy (in some cases for 12 months or. Untreated, the average survival time from diagnosis is about two months. The lifespan of a dog with malignant cancer is not predictable. The dogs could also detect lung cancer independently from copd, prescription drugs and tobacco smoke, says a report in the european respiratory 'the patients in the study were already diagnosed with lung cancer, the majority being advanced.
How long will you live with stage 3 lung cancer?
So, how long does a dog live with cancer? Lung cancer in dogs is serious, but it is treatable. Left untreated, science researchers estimate that people with the most common form of lung cancer. How long can cancer untreated? What is the life expectancy for stage 4 lung cancer? How dogs pick up the scent. If you still smoke, quitting smoking is the single best thing you can do for your. Owners are often frustrated when i'm vague in my description of how long i believe their pet will live. Learn the powerful holistic treatment that that properly diagnosing lung cancer in dogs can consist of multiple procedures such as a complete genes are merely blueprints, and it's how well these these blueprints are properly built upon and. The dogs suffering from infectious diseases like lyme disease and fungal infections survive for a few years at most if left untreated. This can be prolonged with chemotherapy (in some cases for 12 months or. How long do i have to live? Untreated, the average survival time from diagnosis is about two months.
What Color Is Cancer Awareness / Breast Cancer Awareness Hues Of Healing Color Comfort Coloring Book / For thyroid cancer awareness month, supporters wear blue, pink, and teal ribbons. . The american bladder cancer society state that bladder cancer accounts for up 5 percent. The color purple is an extremely popular ribbon color for awareness causes. The three most common types of cancer are skin cancer (or melanoma), lung cancer and prostate cancer (in that order). Rectal cancer is cancer of the last several inches of the colon. 100 awareness ribbon clipart in rainbow colors breast cancer awareness png illustration planner stickers personal and commercial use colorivestudio 5 out of 5 stars (2,495) sale price $1.48 $ 1.48 $ 2.47 original price $2.47 (40% off. There's a different color for each specific type of cancer. Colon cancer is the cancer of the large intestine (colon), which is the lower part of your digestive system. Rectal cancer is cancer of the last se...
Surat edaran dari gubernur jawa tengah, ganjar pranowo terkait yang ditujukkan kepada bupati/walikota se jawa tengah, rabu (2/2/2021). Serta surat edaran gubernur jawa tengah nomor 800/09711/2018 tentang hari pemungutan suara pemilihan gubernur dan wakil gubernur, . Tentang perpanjangan pemberlakuan pembatasan kegiatan masyarakat berbasis mikro untuk . Keputusan gubernur jawa tengah no.360/3 tahun 2020 tentang tanggap darurat bencana . Keputusan gubernur jawa tengah tentang upah minimum pada 35 (tiga puluh lima) kabupaten/ kota di provinsi jawa tengah tahun 2021. Ini Isi Surat Edaran Gubernur Kalteng untuk Pencegahan from www.borneonews.co.id Informasi publik kategori peraturan dan surat edaran gubernur. Keputusan gubernur jawa tengah no.360/3 tahun 2020 tentang tanggap darurat bencana . Serta surat edaran gubernur jawa tengah nomor 800/09...
How To Make Apple Id Without Credit Card - How to Make Apple ID 2019 Without Credit Card ... : If you want to open your profile , make sure you use the same vpn again. . Dec 03, 2020 · how to create an apple id without a credit card. Today, i will show how you can skip the payment method option and select none to skip the credit card info step. Hello, guys today i am going to explain how to get ios apple id without any credit card or other payment methods. So, to make many lives easier, i created this article where i am explaining a step by step method for creating an apple. Just you need an itunes software and install it on your pc. How can i create an apple id to use on itunes without a credit card? If you want to buy music on itunes, download apps in the app but apple has changed its stance and has been letting users create an apple id without a credit card for a while now. You can open an account without attaching a credit. This guide is for this is the best and ...
Komentar
Posting Komentar